
Serebral anjiyodistoni, beyin dokularındaki damarların ve normal kan dolaşımının bozulduğu patolojik bir durumdur. Bu makalede, tedavi zamanının geldiği, nelerin sebep olduğu ve semptomları hakkında bilgi edinebilirsiniz. Ve ayrıca bu sinsi hastalığın korkunç komplikasyonları ve herkesin erişebileceği modern tedaviye yaklaşım hakkında bilgi edinebilirsiniz.
Serebral damarların anjiyodistoni, tüm organizmanın performansını etkiler. Beyne yetersiz kan akışı nedeniyle genel performans düşer, zayıflık ortaya çıkar ve önemli vücut sistemleri arızalanmaya başlar.
Serebral anjiyodistoninin ilk semptomları şunları içerir:
- Baş ağrısı;
- Kulaklarda çınlama;
- Genel halsizlik, uyuşukluk, uyuşukluk;
- Düşük çalışma kapasitesi;
- Uyku bozuklukları, uykusuzluk;
- Unutkanlık;
- Uzuvlarda uyuşma hissi;
- Kollarda ve bacaklarda şişme;
- Gözlerde kararma hissi;
- Görme kaybı;
- Vücutta hormonal bozulmalar.
Vücutta hormonal bozulmalar.
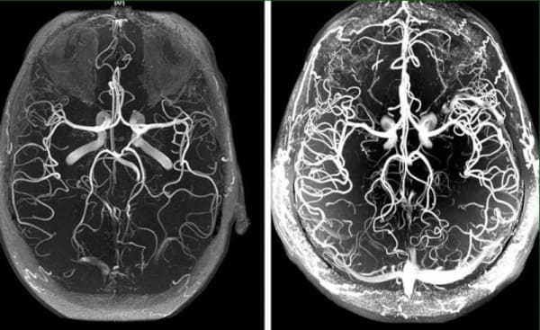
Serebral damarlarının tıkalı olması kan dolaşımının tedavisi, tüm organizmanın birikmiş pisliklerden temizlenmesine dayanır. Kolesterol plakları, kan pıhtıları ve kalsiyum kireci.
Evde damarlar nasıl temizlenir?
Kan dolaşımının tedavisi ve kan damarlarının temizlenmesi karmaşık bir süreçtir. Vücudun tüm damarlarını etkiler ve yaşam kalitesini artırır.
Bu detaylı röportajda kan damarlarınızı nasıl temizleyeceğinizi, yüzlerce "kronik" hastalıktan nasıl kurtulacağınızı ve 20 yıl daha sağlıklı bir yaşam elde edeceğinizi öğrenin.
- Damar tıkanıklığı ne kadar tehlikelidir?
- Semptomları görmezden gelmenin riskleri nelerdir?
- Vazodilatörler neden kötüdür?
- Beyin damarları, aşırı kilo, eklemler ve güç arasındaki ilişki nedir?
- Kan dolaşımını nasıl temizleyebilir ve kan damarlarını kendi başınıza nasıl güçlendirebilirsiniz?
Bu sorular GATA Askeri Tıp Akademisi Beyin Damar Cerrahisi Anabilim Dalı Başkanı, profesör, beyin cerrahı, Türkiye'nin Onurlu Doktoru Burak Çelik tarafından cevaplandı.

Burak Çelik, Türkiye'de ortalama yaşam süresinin gelişmiş ülkelerde olduğu gibi 89-93 yıla çıkarılabileceğine inanıyor. 40 yıl sonra kan damarlarını temizlemenin önemini vatandaşlara kitlesel olarak anlatılması gerektiğini vurguluyor.
Damar tıkanıklığı ne kadar tehlikelidir?
– Sayın Çelik, öncelikle hangi belirtilere dikkat edilmeli?
- İlk aşamada, damar tıkanıklığı zayıf bir şekilde kendini gösterir. Çoğu kişi semptomlara, belirtilere dikkat etmez.
Beyin damarlarında ki sorunların ilk belirtileri:
- Sebepsiz ortaya çıkan kafadaki gürültü;
- Gözlerin önünde beliren noktalar;
- Parmaklarda ve yüzde uyuşma hissi;
- Alın ve şakaklarda baş ağrısı;
- Ani basınç sıçramaları (vücut pozisyonunda keskin bir değişiklikle gözlerde kararır);
- Soğuk ayaklar ve eller.
Damarların durumunun bozulması ile kalıcı kronik hastalıklar gelişir:
- Hipertansiyon;
- Eklemlerde, kaslarda, uzuvlarda kramp ve ağrı;
- Kalp Çarpıntısı
- Varisli damarlar ve damarların trombozu;
- Erkeklerde cinsel gücün bozulması, prostatın büyümesi;
- Metabolizmanın yavaşlaması ve yağ metabolizmasının ihlali.
Akut bir hastalık olmamasına rağmen, serebral dolaşımın bozulması çok sinsidir. Sonuçta er ya da geç felce yol açar ama ondan önce insana yıllarca işkence eder, organların hayati fonksiyonlarını yavaş yavaş öldürür ve bir sürü farklı hastalığa neden olur.
Bütün bu hastalıklar birer sonuçtur. Damarların aterosklerozunun sonuçları, kolesterol plakları ve kan pıhtıları ile sonuçlanır. Kelimenin tam anlamıyla bazı vatandaşlarımız kan damarlarını temizlemeye dikkat ediyor, yıllarca acı çekmeye devam ediyor ve kronik hastalıkları için bilmeden de olsa işe yaramaz haplar içiyor.
- Evet, ne yazık ki vatandaşlarımız damar temizliğinin önemi konusunda hiçbir şekilde bilgilendirilmiyor.
– Ve bu onların suçu değil. Türkiye'deki 100 doktordan 99'u kan damarlarını temizlemek için reçete yazma ihtiyacı gerektiği hakkında bilgi sahibi olmadığı ortadadır.
Gelişmiş ülkelerde: ABD, Kanada, Japonya, Avrupa, 11 yıldır yasal olarak 40 yaşın üzerindeki her vatandaşa her 4 yılda bir nutrasötik sağlanması kararlaştırılmıştır.
Semptomları görmezden gelmenin riskleri nelerdir?
- Kan damarlarının semptomlarını görmezden gelirseniz ve yalnızca teşhisi konulmuş hastalıkları tedavi ederseniz ne olur?
- Herhangi bir ilaç tedavisine bakılmaksızın hastalıklar sadece ilerleyecektir.
Ve damarlarda ne kadar fazla kirlilik birikirse, sonuçlar o kadar şiddetli olacaktır. Serebral damarların orta ila orta derecede kirlenmesiyle, en sık felç ve tam veya kısmi felç meydana gelir.
Vazodilatörler neden kötüdür?
– Vazodilatörlerin yarardan çok zarar verdiği doğru mu?
– Evet. Vazodilatör ilaçlar acil kullanım için iyidir. Sık kullanımları kan damarlarının duvarlarında büyük bir yük oluşturur.
Damarlar, epitel duvarlarını aşındıran ve onları daha ince yapan birikmiş kolesterol "katmanlarından" zaten muzdariptir. Ve vazodilatörler kan damarlarını gererek duvarlarda aşırı gerilim yaratır. Böyle bir anda damar dayanamazsa ve patlarsa, felç meydana gelir.
Bu nedenle, vazodilatörleri çok dikkatli ve sadece aşırı durumlarda almanızı tavsiye ederim.
Beyin damarları, aşırı kilo, eklemler ve güç arasındaki ilişki nedir?
- Neden, beynin kan dolaşımı bozulduğunda, kadınlar genellikle kilo alır, erkekler “güçlerini” kaybeder ve prostatit olur ve eklemler ve omurga çökmeye başlar?
- Beynin damarları plaklarla “tıkandığında” daha az besin alır. 40 yaşından sonra her yıl beyin %5 daha az besin alır.
Beyin yeterli besin almadığında ne yapar?
1. Aç olduğumuzu düşünür ve bize yemek yedirir.
Ancak ne kadar yerseniz yiyin, kirli damarlar yine de beyne yeterli besinin geçmesine izin vermez. Vücut yediklerimizi depolar ve bunun sonucunda kilo artışı gerçekleşir.
2. “Aç” modda, beyin öleceğimizi düşünür, bu nedenle vücudun hayatta kalması için “gereksiz” olan işlevleri kapatır.
Aç beyin üreme işlevine ihtiyaç duymaz, bu nedenle güç ve libido işlevi azalır. Erkeklik hormonu Testosteron'un üretimini azaltır. Bu da prostatta bir artışa ve prostatit gelişimine neden olur.
İyileşme işlevi çok enerji tüketir ve beyin daha iyi zamanlara kadar işlevi “kapatır”. Eklem dokuları güncellenmeyi bırakır: kıkırdak, kemikler, sinovyal sıvı üretimi (eklem yağlaması) azalır. Eklemlerde ağrılar, osteokondroz, artrit oluşur.
Kan dolaşımı nasıl tedavi edilir ve kan damarları nasıl güçlendirilir?
– Damarları temizlemek ve kan dolaşımını kendi başınıza eski haline getirmek mümkün müdür?
- Evet. Bunu yapmak zor değil, sabır ve disiplin gerektiriyor.
Ulusal Vasküler Cerrahi ve Kardiyoloji Tıbbi Araştırma Merkezi, benzersiz bir ürün - nutrasötik şurup olan "CholestOff" geliştirdi. Enstitü uzmanları, bugün benzeri olmayan bir ürün yarattı. "CholestOff" şurubu kesinlikle güvenlidir, hiçbir yan etkisi yoktur ve tıbbi gözetim olmadan alınabilir.

"CholestOff", damarları her türlü tortudan temizler:
- Kolesterol plakları
- Kan pıhtıları
- Kalsiyum tuzları
CholestOff kullanımının sonuçları:


"CholestOff" bilim adamlarımızın gururu. Kolesterol plaklarına nüfuz eden ve onları içeriden çözen ekstraktların aktif CO2 fraksiyonları sayesinde kan damarlarının neredeyse %100 temizliğini sağlarlar.
CholestOff damarları temizleyerek beynin normal beslenmesini geri kazandırır. Vücudun iyileşmesinin zincirleme reaksiyonu başlatılır.
CholestOff vücudu nasıl etkiler?
– CholestOff 3 aşamada etki eder:
1. Damarlardaki tortuları temizler
Aterosklerotik plakları, kan pıhtılarını ve kalsiyum kirecini çözün. Kan damarlarının temizliğini % 99,71'ine kadar arttırır ve kan dolaşımını eski haline getirir.
2. Zayıf dolaşımın etkilerini ortadan kaldırın
Hipertansiyon, baş ağrısı, varis, tromboz, hemoroid, prostatit gibi hastalıklar tamamen veya önemli ölçüde iyileşir. Kulaklarda çınlama, baş dönmesi, şişlikler kaybolur, görme keskinliği ve düşünce netliği artar. Kilo ve yağ metabolizmasını normalleştirir.
3. Kan damarlarının duvarlarının gücünü ve elastikliğini arttırın
Bu yeni plak oluşumunu engeller ve felç riskini 11 kat azaltır.
– CholestOff'yu ne sıklıkla ve ne kadar süreyle almalıyım?
- Erkeklerde 40, kadınlarda 45 yaşından itibaren 5 yılda 1 kez. Tedavi süresi 2-3 aydır, şiddetli dolaşım bozuklukları semptomları 2 aydır.
ÖNEMLİ! ARAŞTIRMA SONUCUNDA, TEDAVİYE BAŞLAMAK İÇİN EN İYİ ZAMAN. ORTALAMA SICAKLIĞIN ARTMASI SAYESİNDE ORGANİZMADAKİ METABOLİK SÜREÇLER HIZLANIR, ÜRÜNÜN KULLANIM ETKİSİ ARTAR. İYİLEŞME DİĞER MEVSİMLERE GÖRE %37 DAHA HIZLIDIR.
Tercihli İndirim Programı
– "CholestOff", bildiğimiz kadarıyla çoğu eczaneden kayboldu mu? Neden? Niye? Ve şimdi onları nasıl elde edersiniz?
– Ne yazık ki evet. Bu yılın başından beri CholestOff artık eczanelerde bulunmuyor.
Çatışmanın nedeni, CholestOff üreticisinin satılan her bir adet için onlara büyük bir komisyon ödemesini talep eden eczane zincirlerinin açgözlülüğüydü! Üreticinin fiyatında zaten büyük olan marjı şişirerek (ülkedeki bazı eczanelerde bir CholestOffnun fiyatı 5.000 TL'ye (!) ulaştı), eczacılar üreticiden ek bir ücret talep ettiler.
Eczane temsilcileri kendilerini haklı çıkarmaya çalışıyorlar - böyle bir ekstra ücretin hastaların hayatta kalmaları için vermesi gerektiği düşüncesindeler . Sonuçta, CholestOff her 5 yılda bir satın alınan bir üründür. Ve bunun yanı sıra, CholestOff ile damarları temizledikten sonra, kişi sürekli aldığı ilaçlara ihtiyaç duymaz! Kullanan insanlar, eklem ağrıları için ilaç almayı bırakıyor. Astım ve diyabet için ilaç tüketimini önemli ölçüde azaltıyor. Bu da eczanelerde kayıplara yol açmaktadır. Bu nedenle, CholestOff için mümkün olan en yüksek fiyatı belirlemeyi talep ediyorlar.
Sonuç olarak üretici CholestOff, tüm eczanelerle yaptığı sözleşmeleri feshetti ve sadece internet üzerinden dağıtıma geçti. Prensip olarak, bu doğrudur. Kendiniz karar verin: kira ödemek zorunda değilsiniz, eczanelerde raflarda olabilmek için rüşvet ödemek zorunda değilsiniz. Bu nedenle, CholestOff artık eczanelerde satıldıklarından çok daha uygun fiyatlı.
Tercihli İndirim Programı (TİP) "Temiz Damarlar"
Enstitümüz, Ulusal Kalp Damar Cerrahisi Tıbbi Araştırma Merkezi, Kargo firması ve üretici CholestOff ile birlikte teletıp (İnternet Tıbbı) projesinin bir parçası olarak tercihli bir program başlattı.
Program kapsamında ürün indirimleri çekiyoruz (kampanya yazının sonunda olacak). Her okuyucumuz indirim alabilir, ancak yalnızca ürüne gerçekten ihtiyacı olanlar indirimden yararlanabilir. En iyi yanı, indirimlerin %50'ye ulaşmasıdır, bu da en şanslı okuyucularınızın ürünü tamamen YARI FİYATINA alabilecekleri anlamına gelir!
– İndirim programı ne kadar sürecek?
– Kampanya 18.05.2021 (dahil) tarihine kadar geçerlidir. Her aşama için 30.000 paket ayrılmıştır. Ve 3-4 haftada tamamen bitiyor. Ve bu, TV ve radyoda reklam olmamasına rağmen. İnsanlar birbirlerine bilgi aktarıyor, arkadaşlarına ve akrabalarına tavsiyelerde bulunuyor. CholestOff hakkındaki bilgilerin bu kadar çabuk yayılması bizleri bile şaşırttı.
Bu nedenle, belirtilen tarihten önce katılacak kadar şanslıysanız, çekilişe katılmanızı ve en kısa sürede CholestOff sipariş etmenizi öneririm!
12 SAAT ÖNCE EKLENDİ | EDİTÖR NOTU: Önemli bir haber! Şu anda, program 18.05.2021 (dahil) tarihine kadar Türkiye genelinde gerçekleştiriliyor. Promosyonun sonuna kadar, orijinal RECARDİO, %50'ye varan indirimle herkes için resmi çekilişle elde edilebilir! Şu anda, Türkiye'deki promosyon paketlerinin adedi: 37 adet.









Annem ve kendim için aldım annem kullanmaya başladığından itibaren etkisini hissettiğini söyledi ve ben de daha sağlıklı hissediyorum gerçekten memnun kaldık. Diğer aile büyüklerimiz için de yeniden sipariş vereceğiz.
Anladığım kadarıyla artık sosyal fon tüm bölgelere sponsor oluyor, şartları iyi okuyun. Bildiğim kadarıyla, eczaneler yüksek fiyat ile satmakta ısrar ediyor, ancak üretici kesinlikle reddediyor! Yani şimdilik, indirimli CholestOff'yu elde etmenin tek yolu, çekilişte indirim almaya çalışmak veya bu şekilde sipariş vermek.
Tansiyon sorunları için çok etkili bir çare! Kesinlikle öneriyorum! Tansiyonum şimd 120'den 80'e kadar stabil. İlk yardım çantamda her zaman yanımda bulundururum, çünkü beni KURTARIYOR!
Bu ürün için üreticiye teşekkürler! Denedim ve gerçekten hayat benim için daha kolay oldu. Bakalım bir hafta sonra nasıl olacak. Ama kalp basıncım artık artmıyor, hissetmiyorum bile. Bu yüzden her şeyin iyi olacağını düşünüyorum!
Endişelenmeyin ve CholestOff'yu kullanmaya devam edin. Ana şey, kullanım talimatlarını takip etmektir.
Saygılarımla, Tolga Kara.
Arkadaşlar, yardım edin! Basınç dalgalanmalarından bıkmış durumdayım. Rahatsızlık ve acı hayatımı zehir etti. Artık ne yapacağımı bilmiyorum. Zaman zaman farklı yöntemler kullanıyorum ama yardımcı olmuyorlar (((
CholestOff'yu al, pişman olmayacaksın. Anneme CholestOff'yu bulduğu ve onu kullanmama zorladığı için teşekkürler. Şimdi basınçla ilgili hiçbir sorunum yok ve sakince hareket ediyorum. İnanın, alın ve her şey yoluna girecek, göreceksiniz!
CholestOff nasıl satın alınır?
Gamze, indirime katıl ve CholestOff'yu sipariş et, program devam ederken acele et. Bana çok yardımcı oluyorlar!
Kemal, evet, teşekkür ederim, zaten sipariş verdim, ancak Antalya'ya ne kadar sürede teslim edildiğini söyleyebilir misiniz?
Gamze, ortalama 3-4 günde geliyorlar :)
Kız kardeşim için üreticinin web sitesinden iki ay önce sipariş verdim. Uzun süre rahatsızdı ve damar sertliğine sahipti. Daha sonra ona ürünü kullandı şuan bana nasıl teşekkür ettiğini belirtmek isterim.
Sonuç bu kadar etkili mi? Muhtemelen sipariş vermeye değer.
2 yıldır damar sertleşmesinden dolayı üzerimde bitmek bilmeyen bir baskı hissediyordum. CholestOff ile buna bir çare bulabileceğimi düşünüyorum. Sipariş verip deneyeceğim.
Yaklaşık bir ay önce CholestOff üreticisinin sitesini bulduğum için şükür ediyorum. Onlarca ilacın yapamadığı kadar çabuk tansiyondan kurtardı beni! Şimdi her ihtimale karşı masamda!
Arkadaşlar işe yarıyor mu söyler misiniz?
Şüphesiz. Etkisi çok güçlü ve en önemlisi sağlığa zarar vermiyor. Acele edin, indirimli çekiliş varken! CholestOff, tansiyon sorunlarımdan tamamen kurtulmama yardımcı oldu.
Teşekkürler, CholestOff çok hızlı yardımcı oldu! Üreticinin resmi web sitesinde sipariş verdim! Tedaviyi geciktirmeyin, daha sonra uzanıp bir daha asla hareket edemeyeceğinizi anlamaktansa bu sorunlardan şimdi kurtulmak daha iyidir.
Teşekkürler. Siz olmasaydınız, bu ürünün etkisine inanmazdım! 5 yıldan fazla süredir hipertansiyonu olan eşimle birlikte yaşıyorum. Çok acı çekti. Ve şimdi yine 18 yaşındaymış gibi ortalıkta dolaşıyor.
Dudu, ben teşekkür ederim. Lütfen söyler misin, tedavin ne kadar sürdü?
Saygılarımla, Tolga Kara.
Tolga hocam, yaklaşık 15- 20 gün sonra tansiyonumun sabit olarak ideal seviyede kaldığını fark etmeye başladım.
Anladım, teşekkür ederim.
Saygılarımla, Tolga Kara.
Sonuç basitçe beklentilerimi aştı. Tansiyonum 6 günde azalmaya başladı! Ve indirim yapıldığını görünce bir kutu daha sipariş ettim.
"Bugün, CholestOff'yu sipariş verdim, umarım en kısa sürede gelir. İndirimler başladı, acele edin! Resmi web sitesinde çok hızlı bir şekilde formu doldurdum, geri aradılar ve sipariş onaylandı. Sonunda huzur içinde yaşamanın ve yürümenin tadını çıkarmak istiyorum. "
Kendim için aldım, birkaç yıldır günlerim işkence içinde geçiyordu. Ne zaman yağmur yağsa veya hava değişse - oluşan acıyı hayal bile edemezsiniz. CholestOff birkaç hafta içinde yardımcı oldu. Bunun mümkün olabileceğini düşünmemiştim bile
Bir tanıdığım, CholestOff'yu büyük bir paraya, bir doktordan satın aldı, paraya yazık oldu. Burada indirimli olarak alabilirsiniz ve kesinlikle sahtekarlıkla karşılaşmazsınız. Hemen kendime birkaç adet sipariş ettim!
"Yine de eczaneler de satmaya çalışıyor. Böyle insanlardan menfaat sağlamak ayıptır. Artık ürünü nereye ve kime gönderdiğimizin takipçisi olacağız. "
Saygılarımla, Tolga Kara.
Ben de resmi siteden sipariş verdim. Mükemmel yardımcı oldu. Tansiyonla ilgili sorunlarınız varsa - şiddetle tavsiye ederim. Ayrıca hızlı bir şekilde teslim ettiler, bana 3 günde geldi.
Makaleyi okudum ve hemen denemek için sipariş vermeye karar verdim. Gerçek şu ki, geleneksel ilaçlar bana uzun süre yardımcı olmadı - bana söylendiği gibi hipertansiyonun tedavisi zor. Kargom çok hızlı geldi. Daha ilk gün kendimi o kadar rahatlamış hissediyorum ki, buraya yazmadan edemedim. Çok teşekkür ederim, artık en azından normal bir hayat yaşayabilirim!
Nereden satın aldığınızı söyleyebilir misiniz? Böyle bir çare eczanelerde satılmaz ve internetten satın almaktan korkuyorum açıkcası.
"CholestOff'yu YALNIZCA resmi web sitesinden, sipariş edilebileceğini bir kez daha tekrarlıyorum! Yanılmamak için hemen yukarıdaki linke tıklamanız veya hemen indirim kazanmaya çalışmanız yeterli! Şimdi Eternal Heart, tercihli program çerçevesinde indirimli olarak dağıtılıyor, ancak program 16.06.2023 kadar geçerli olacak, bu yüzden siparişiniz etmek için acele etmeniz gerekecek Lütfen taklitçilere ve sahte ürün satanlara dikkat edin! "
Saygılarımla, Tolga Kara.